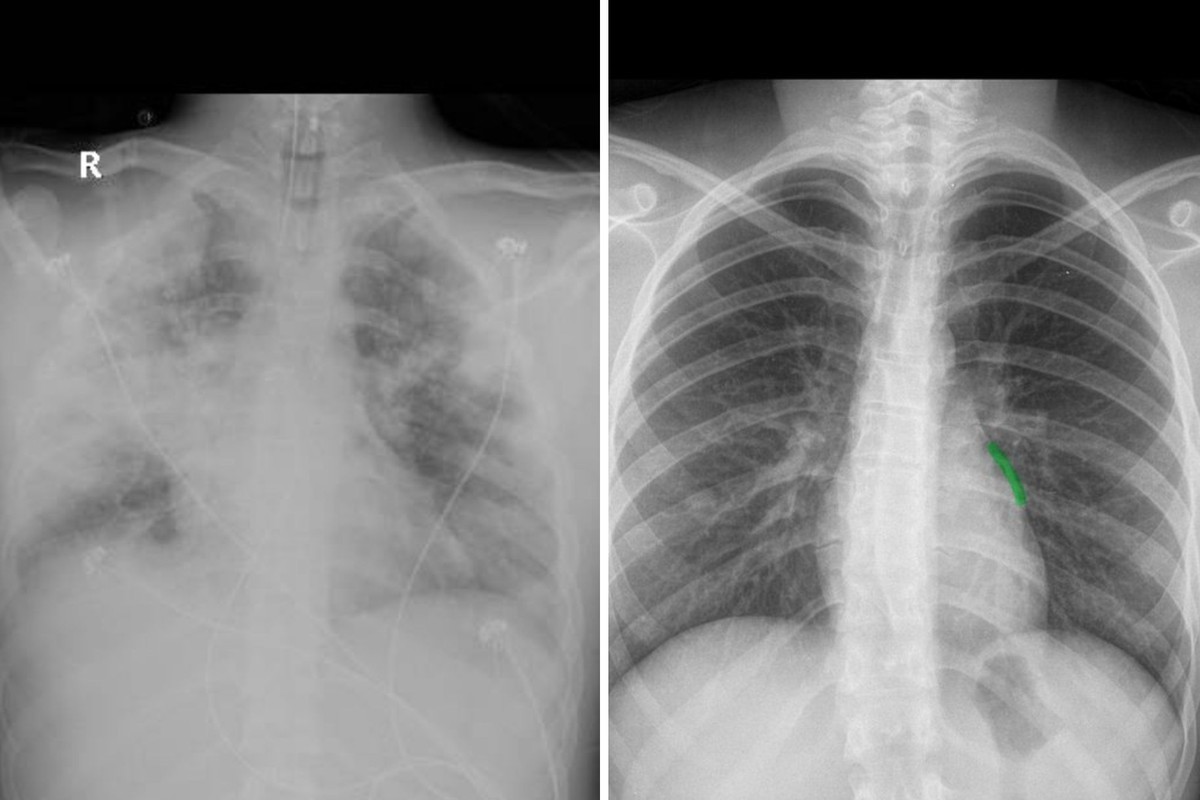
【国内新闻编辑部讯】根据globo 10月16日报道报道,一位名叫莉娅·佩瓦的母亲公开了她已去世儿子的肺部X光片,揭示了电子烟对健康的潜在危害。莉娅透露,儿子自15岁开始使用电子烟,其肺部X光片显示出明显的白色炎症,尽管电子烟并非儿子20岁去世的直接原因,但其对肺部的损害严重影响了儿子抵抗感染的能力。
巴西内科协会桑保罗呼吸病学协会成员弗雷德·费尔南德斯医生分析,X光片显示的肺损伤可能与电子烟使用相关,即所谓的evali,这是一种导致气体交换受限的严重炎症反应。
美国疾病控制与预防中心(CDC)在2019年首次描述了evali,当时众多年轻患者因呼吸困难等症状入院。研究显示,这些患者普遍使用电子烟,尤其是含有维生素E乙酸酯的产品。尽管该成分的使用已减少,但其他物质仍可能引起长期肺损伤。
一项由圣保罗州卫生部联合心脏研究所和圣保罗大学医学院毒理学实验室进行的研究表明,电子烟使用者的尼古丁中毒程度可能比传统烟民高出六倍。研究还指出,年轻人对电子烟成瘾风险的认识不足,而电子烟中的尼古丁含量高于传统卷烟,最高可达50mg,相当于约50支卷烟。
随着电子烟的流行,一些人试图通过电子烟戒除传统卷烟,却养成了双重使用的习惯。这种双重使用增加了心肺负担,反而使健康风险更大。社会各界应对此予以重视,并采取相应措施来减少电子烟对公众健康的潜在影响。
欢迎向 2Firsts 提供相关线索、投稿、联系访谈或针对本文发表评论。
请联系:info@2firsts.com,或在 LinkedIn 上联系两个至上 2Firsts CEO 赵童(Alan Zhao)。
声明
1. 本文仅供专业研究用途,聚焦行业、技术与政策等相关内容。文中涉及的品牌与产品,仅为客观描述之目的,不构成对任何品牌或产品的认可、推荐或宣传。
2. 含尼古丁产品(包括但不限于卷烟、电子烟、加热烟草、尼古丁袋)具有显著健康风险。使用者须遵守其所在辖区的相关法律法规。
3. 本文不应作为任何投资决策或相关建议的依据。对于内容中的任何错误或不准确之处,2Firsts不承担直接或间接责任。
4. 未达到法定年龄的个人禁止访问或阅读本文。
版权声明
本文为2Firsts原创内容,或转载自第三方来源并已明确标注出处。其版权及使用权归2Firsts或原始版权所有方所有。任何个人或机构未经授权,不得复制、转载、分发或以其他形式使用本文内容,违者将依法追究法律责任。
如有版权相关事宜,请联系:info@2firsts.com
AI辅助声明
本文部分内容可能借助AI工具完成翻译或编辑,以提升效率。但由于技术限制,可能存在误差。建议读者参考原始来源以获取更准确的信息。
欢迎读者指出可能存在的问题,请联系:info@2firsts.com





























